1. KADA PRVI PUT POSETITI ORTODONTA
Za decu se preporučuje da do sedme godine posete ortodonta. Deca se u toj dobi intenzivno razvijaju, pa je, ukoliko je potrebno, lakše uticati na potrebne korekcije vilice. Što se ranije počne s potrebnim tretmanom, lečenje će biti lakše, kraće i manje će koštati.
Neki od znakova da dete treba odvesti na ortodontski pregled:
– Sisanje palca
– Disanje na usta
– Rani gubitak zuba
– Višak ili manjak zuba
– Preklapanje zuba
– Ukršteni zagrižaj – gornji zubi leže iza donjih zuba
– Izbačeni gornji zubi
– Gornji i donji prednji zubi se ne preklapaju
– Postoje prostori između zuba
2.ŠTA MOŽETE OČEKIVATI NA PREGLEDU SA ORTODONTOM
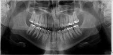
Prvi pregled obavlja ortodont specijalista. Na pregled je neophodno da donesete ortopan snimak (snimak obe vilice). Pregled podrazumeva pregled stanja svih zuba, analizu ortodontskog problema pregledom i analizu ortopan snimka.
Na osnovu toga ortodont može okvirno da Vam objasni problem i način za njegovo rešavanje. Ovaj pregled je BESPLATAN.
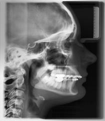
Ukoliko se odlučite da kod nas nastavite sa terapijom, dijagnostika mora da se dopuni uzimanjem otisaka za studijske modele, fotografisanjem lica i zuba i još jednim rendgenskim snimkom-profilnim snimkom glave. Na osnovu otisaka, dobijaju se gipsani studijski modeli-replika vaših zubnih lukova. Na tim modelima ortodont vrši precizna merenja i tako dolazi do tačne dijagnoze i mogućnosti za terapijsku proceduru.
Na osnovu sprovedene anamneze, kliničkog i funkcionalnog ispitivanja, analize rendgenskih snimaka, studijskih modela i fotografija, ortodont dobija sve relevantne podatke o ortodontskom problemu jednog pacijenta. Sve te podatke on sklapa u jedinstvenu dijagnozu i odlučuje koji terapijski postupak je najbolji za datog pacijenta.
Nakon nekoliko dana od prvog pregleda, možemo da Vam predložimo plan terapije.
Cena ortodontske analize je 30 € u dinarskoj protivvrednosti i ulazi u sveukupnu cenu proteze. Ukoliko se ne odlučite za terapiju kod nas, pomenutih 30 € Vam se neće vratiti.
Možemo da se pohvalimo da nam najveći broj pacijenata ukaže poverenje na čemu smo im beskrajno zahvalni. Svakom svom pacijentu se odužimo pažnjom i dobrom terapijom.




Imam 15 godina. Imam krive leve sedmice i mnogo mi to smeta. Gornja malo na spolja i donja mnogo na unutra. Njih dve se uklapaju, ali se ostali zubi se ne uklapaju. I gornja leva trojka je malo izbačena. Ranije sam nosila mobilnu protezu. Da li treba da počnem da nosim fiksnu protezu ili ne? I ako treba, da li onda treba da nosim i gornju i donju?
Postovana Katarina,
Verovatno treba da nosite fiksnu protezu, ali to bih mogla da Vam definitivno potvrdim tek kada Vas vidim na pregledu. Obicno se nose obe fiksne, jer problem nikada nije samo u jeednoj vilici. Mozete mi se javiti na telefon 011 2863 777 i zakazati pregeld.
Srdacan pozdrav!